Testbericht

Wirkeffekte der METAVITAL MNLS-Technologie auf kultivierte Darmepithelzellen und entzündungsvermittelnde Zellen

Multidimensionale nicht-lineare Systeme (MNLS) sind in der Komplementärmedizin anerkannte und angewandte Analyse- und Balancierungssysteme, welche den energetischen und funktionellen Status eines Organismus wiederherstellen. Die Messung arbeitet Biophotonen-basiert. 

In der Schulmedizin sind MNLS-Systeme bisher nicht anerkannt. In dieser tierversuchsfreien Studie mit kultivierten Darmepithelzellen und entzündungsvermittelnden Zellen (funktionale Neutrophile) wurden die Wirkeffekte des MNLS-basierten Systems von METAVITAL auf die Darmgesundheit und damit auch auf die Integrität und Funktionalität der Darmwandbarriere untersucht. Hierzu gehört eine Verbesserung der Zellvitalität, die Förderung der Regeneration von Darmepithelzellen sowie die Verminderung von oxidativem Stress durch Nahrungsunverträglichkeiten und die Reduktion von Entzündungsprozessen.

Zellkulturen

Die Untersuchungen wurden mit zwei verschiedenen organspezifischen Zellkulturen durchgeführt:

M Ikon für Menü

(1)

Darmepithelzellen vom Schwein (Zelllinie IPEC-J2, ACC 701; DSMZ, Braunschweig)

M Ikon für Menü

(2)

Humane Promyelozyten (Zelllinie HL-60, ACC 3; DSMZ, Braunschweig), welche zu entzündungsvermittelnden Zellen (funktionale Neutrophile) differenziert wurden.

Durch einen oxidativen oder respiratorischen Burst können diese Zellen lokal im Gewebe Superoxidanion-Radikale bilden und so zu einer Gewebezerstörung oder einem Entzündungsprozess beitragen. Die Zellen beider Zelllinien wurden routinemäßig als Massenkulturen in ihren speziellen Kulturmedien im Brutschrank bei 37 °C in einer standardisierten feuchten Atmosphäre aus 95 % Luft und 5 % CO2 gezüchtet und für die Tests in die entsprechenden neuen Kulturgefäße ausgesät.

Testprodukt, Expositionszeit und Versuchsanordnung

Für die Dauer der Untersuchungen wurde uns ein MNLS-basiertes System von der Firma METAVITAL GmbH zur Verfügung gestellt. Dieses wurde entsprechend der Anleitung durch den Hersteller eingesetzt, wobei der Biophotonen-Trigger-Sensor bestehend aus Lichtintensitätssensor und Infrarotlichtquelle 40 mm unterhalb der Zellkulturschalen oder -flaschen aufgestellt war (Abb. 1). Die Exposition wurde stets mit 100 % PWM durchgeführt. Die Signalstärke war zwischen 86 % und 91 % und die Reflektionsstärke des Signals stets im grünen Bereich. Die Kontrollzellen und die behandelten Zellen wurden in getrennten Mini-Inkubatoren bei 37 °C in einem pH-stabilem Kulturmedium kultiviert. Die beiden Inkubatoren waren in ca. 10 Meter Abstand und durch mehrere Hauswände getrennt voneinander aufgestellt.

In Zellkultur-Vorversuchen mit unterschiedlichen Expositionsszeiten durch die Infrarotlichtquelle konnten wir für eine optimale Zellwirkung eine Zeitdauer von 60 min ermitteln. Längere Expositionszeiten veränderten das Ergebnis nicht mehr.

Abb. 1: Versuchsanordnung mit einer Zellkultur-Multiplatte 40 mm über dem Biophotonen-Trigger-Sensor. Dieses Anordnung befand sich in einem auf 37 °C temperierten Mini-Inkubator unter Verwendung eines pH-stabilen Kulturmediums. Die anderen Geräte des MNLS-basierten Systems wie METAVITAL-Box und das Notebook mit der passenden Software zur Steuerung des Systems sind nicht abgebildet. Die Vertiefungen mit den Zellen sind durch das rote Kulturmedium gekennzeichnet.

Durchgeführte Tests und Ergebnisse

Es wird auf die weitere ausführliche wissenschaftliche Beschreibung der Testverfahren verzichtet, da die allgemeine Verständlichkeit des Testberichtes darunter leiden würde. Im Bedarfsfall können diese Daten selbstverständlich nachgeliefert werden.

4.1 Zellvitalität

Zellvitalität und Zellstoffwechsel sind grundlegend für die Funktion und Anpassungsfähigkeit von Geweben: Der Stoffwechsel liefert die Energie und die Baustoffe, welche für Wachstum, Differenzierung, Reparatur und Signalübertragung nötig sind. Dadurch wird die Zellvitalität und Zellgesundheit gefördert. Die Darmepithelzellen wurden in die Vertiefungen einer Multiwell-Kulturplatte ausgesät und nach dem 24-stündigen Absetzen und Ausbreiten sowie der Wiederaufnahme des Zellstoffwechsels für 60 Minuten mit dem MNLS-basierten System behandelt und danach für weitere 24 Stunden kultiviert. Die Kontrollzellen blieben unbehandelt. Danach wurde mit einem Enzymtest (XTT-Test) die Aktivität der mitochondrialen Dehydrogenasen quantitativ bestimmt. Es wurde ein Versuch mit mehreren Replikaten durchgeführt. 

Ergebnis: Durch die nur einmalige Exposition mit dem MNLS-basierten System von METAVITAL wurde die Vitalität der Darmepithelzellen im Vergleich zur unbehandelten Kontrolle um mehr als 12 % verbessert. Dies zeigt das Potenzial des MNLS-basierten Systems auch bei den intestinalen Zellen auf, da der beobachtete Effekt durch mehrere aufeinanderfolgende Expositionen möglicherweise noch deutlich verstärkt werden kann.

4.2 Regeneration

Die Zellregeneration ist ein fundamentaler biologischer Prozess, der es Organismen ermöglicht, beschädigte oder abgestorbene Zellen zu ersetzen und somit die Homöostase aufrechtzuerhalten. Durch Förderung der Regeneration kann es zu einer früheren Wiederherstellung der Integrität und Funktionalität des betroffenen Gewebeareals kommen. In diesem Test wurde die Besiedlung eines zellfreien Raumes nach 12 Stunden als Maß für das zellregenerative Potenzial bei Behandlung mit dem MNLS-Systems für eine Stunde direkt zu Beginn der Regenerationsphase bestimmt. Die Kontrollzellen blieben unbehandelt. Am Versuchsende wurde die noch nicht besiedelte Restfläche anhand von Mikrofotoserien dokumentiert und mit einer speziellen KI-Software ausgewertet. Es wurde ein Versuch mit mehreren Replikaten durchgeführt.

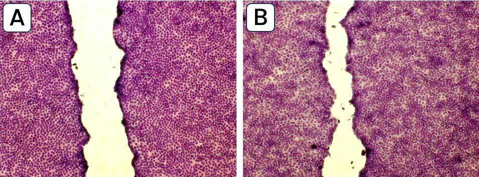
Ergebnis: Die Restfläche nach Ablauf des Versuches betrug bei den mit dem MNLS-basierten System behandelten Zellen nur 10 % der Gesamtfläche und für die unbehandelten Zellen noch nahezu 20 % der Gesamtfläche. Dies verdeutlicht die Stimulation der Zellregeneration durch die nur einmalige Behandlung mit dem MNLS-basierten System von METAVITAL (Abb. 2).

Abb. 2: Mikrofotografische Dokumentation des nach 12 Stunden noch verbliebenen zellfreien Raumes bei den unbehandelten Kontrollzellen (A) im Vergleich zu den Zellen, die zu Beginn der Regenerationsphase für eine Stunde mit dem MNLS-System von METAVITAL behandelt worden waren (B).

4.3 Umgebungsbedingter oxidativer Stress

Es wurde nach einer 24-stündiger Einwirkungszeit verschiedener Konzentrationen Wasserstoffperoxid (0,5 bis 2 mM) als Donator für reaktive Sauerstoffspezies im Kulturmedium die Überlebensfähigkeit (Viabilität) der Zellen mit und ohne anfänglich einstündige Behandlung mit dem MNLS-basierten System von METAVITAL untersucht. Dadurch wurde eine Situation simuliert, welche durch äußere Einflüsse zu einem unerwünschten oxidativen Stress (z.B. durch Nahrungsunverträglichkeiten) mit den resultierenden gesundheitlichen Folgen führen kann. Gemessen wurde die Viabilität durch einen enzymatischen Test. Es wurde ein Versuch mit mehreren Replikaten durchgeführt.

Ergebnis: Erwartungsgemäß nahm mit zunehmender Wasserstoffperoxidkonzentration im Kulturmedium die Überlebensfähigkeit der Zellen ab. Beim Mittelwert über alle Wasserstoffperoxidkonzentrationen war die Viabilität bei den mit dem MNLS-basierten System behandelten Zellen etwa 22 % besser als bei den Kontrollzellen.

4.4 Endogene Radikalbildung im Gewebe

Neutrophile sind bei den meisten Säugetieren die am häufigsten vorkommende Art von Granulozyten, also einem bestimmten Typ von weißen Blutkörperchen. Sie spielen eine Rolle als Phagozyten (= Fresszellen) im Blut als zelluläre Abwehr gegen mikrobielle Fremdkeime und – nach Einwanderung ins Gewebe – als entzündungsvermittelnde Zellen. Durch einen oxidativen Burst der Zellen nach Stimulierung kann es zur verstärkten Bildung von reaktiven Radikalen kommen, welche im Blut zwar die Fremdkeime abtöten und danach durch Phagozytose entfernen, aber im Gewebe zu einem Antriggern von Entzündungsprozessen führen können.

Die Promyelozyten wurden durch Zugabe von 1,5 % Dimethylsulfoxid für 6 Tage zu funktionalen Neutrophilen differenziert. An den letzten beiden Tagen der Differenzierung wurden die Zellen für jeweils eine Stunde mit dem MNLS-basierten System von METAVITAL behandelt. Die Kontrollzellen blieben unbehandelt. Danach wurde durch die Spaltung eines Farbstoffes durch die im oxidativen Burst gebildeten Radikale deren Inaktivierung quantitativ bestimmt. Es wurden vier unabhängige Versuche mit Replikaten durchgeführt.

Ergebnis: Die Behandlung mit dem MNLS-basierten System von METAVITAL bewirkte im Vergleich zu den unbehandelten Kontrollen eine stärkere und statistisch signifikante Reduktion der endogenen Radikalbildung im Gewebe um 18,8 ± 4,4 % (Mittelwerte ± Standardabweichungen; p ≤ 0,01; zweiseitiger Wilcoxon-Mann-Whitney-Rangsummentest). Dies ist charakteristisch für die Hemmung von entzündlichen Prozessen durch die Inaktivierung der durch die Zellen gebildeten Superoxidanion-Radikale.

Oxidativer Stress aus der Umwelt/Umgebung und Induktion eines neurodegenerativen Prozesses: Schutzwirkung durch Behandlung mit dem MNLS-basierten System von METAVITAL

Es wurde die Überlebensfähigkeit der kultivierten neuronalen Zellen nach einem künstlich erzeugten oxidativen Stress in der Umgebung der Zellen kontinuierlich am Mikroskop aufgezeichnet. Dazu wurden reaktiven Sauerstoffspezies (ROS) ins Kulturmedium gegeben. Eine unbehandelte Kultur diente als direkter Vergleich.

Es wurde ein Bild in 30 Sekunden aufgezeichnet und später jedes zweite Bildaus der Serie entnommen und zu einem Zeitraffer-Videoclip zusammen gesetzt. Somit wurde für den Clip ein Bild pro Minute verwendet. Bei der Wiedergabe von 25 Bildern pro Sekunde bedeutet dies eine Zeitraffung um den Faktor 1.500 x, d.h. eine Sekunde im Zeitraffer-Video entspricht 25 Minuten in der Realität. Mit der unbehandelten Kontrollkultur wurde auf gleiche Art und Weise verfahren.

Es ist deutlich erkennbar, dass die Exposition mit dem MNLS-basierten System zu einer Schutzwirkung gegenüber den ROS führt und viel weniger neuronale Zellen als in der unbehandelten Kontrolle sich zunächst abrunden, ggf. von der Kulturschale ablösen und schließlich absterben.

In diesen Zeitraffer-Videoclips wird somit die protektive Wirkung des MNLS-basierten Systems von METAVITAL in dynamischer Form dokumentiert. Als Folge dieser Wirkung kann es zu einem reduzierten oxidativen Stress und damit auch einer Verminderung von neurodegenerativen Prozessen im Körper kommen.

Fazit

Wie in den hier dargestellten Untersuchungen auf Zellebene gezeigt werden konnte, besitzt das MNLS-basierte System von METAVITAL förderliche Eigenschaften, welche auch in einem komplexen Gesamtorganismus die Integrität und Funktionalität der Darmwandbarriere - und damit auch die Darmgesundheit - verbessern und aufrecht erhalten können.

Verantwortlich für die wissenschaftliche Richtigkeit der durchgeführten Untersuchungen und den Inhalt des Testberichtes.


Materialien

Wirkeffekte der METAVITAL MNLS-Technologie auf kultivierte Darmepithelzellen und entzündungsvermittelnde Zellen

Testbericht 
dartschSCIENTIFIC

Dießen am Ammersee, 18.01.2026